苗栗一名無特殊病史的28歲年輕男子常久坐電腦前上網,某日上班突然全身盜汗、癱軟倒地,緊急送醫救回一命;醫師提醒,久坐不動,要小心隱形殺手之稱的「肺栓塞」找上門。
衛福部苗栗醫院急診室主任蔡昌宏今天指出,「肺栓塞」臨床症狀不明顯,一開始難以發現,卻有高致命性,死亡率高達30%以上,堪稱「隱形殺手」,主因是心臟通往肺動脈的血管突然被血塊、脂肪、空氣、組織碎片等形成的栓子阻塞,導致肺臟組織血液灌流不足,造成患者血中含氧量降低,出現低血氧症狀,包括呼吸困難、呼吸急促、肋膜性胸痛、腿部水腫、發汗、心悸、昏厥等。
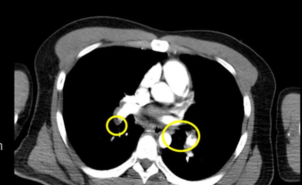
▼(圖/中央社)

蔡昌宏表示,這起案例是一名28歲年輕男性,在上班途中突感身體不適、盜汗,一路撐到公司門口即癱軟倒地,同事幫忙打119送抵醫院時,雖有意識,但臉色蒼白、全身無力、血壓低,說不出哪裡不舒服,經檢查發現有動脈血液缺氧現象,立即給予高濃度氧氣等緊急處置,並會診心臟內科,經電腦斷層檢查確診為肺栓塞,轉加護病房治療,一週後康復出院。
苗栗醫院心臟內科醫師蔡貴嶔表示,造成肺阻塞的血塊,大多來自於下肢深層靜脈栓塞,發現不易,當患者長時間維持一定姿勢不動,血液滯留在下肢靜脈,引起靜脈血栓形成,若血栓順著血流回流到肺部血管阻塞後將造成肺栓塞。
蔡貴嶔指出,常見栓塞成因包括腦中風、心肌梗塞、長期臥床、近期接受過手術、靜脈曲張、惡性腫瘤、口服避孕藥、吸菸、粗暴按摩、慢性病史、家族史、肥胖、高齡及長時間坐辦公室或長途旅行者等;這名患者自述平日下班返家後,多半長時間久坐在電腦桌前上網,鮮少活動,可能就是因此產生血栓因子,導致肺栓塞。
醫師提醒,預防肺栓塞除了應養成良好生活作息、均衡飲食及運動習慣,也要避免過度用力按摩,防止栓塞掉落,避免長時間維持同一姿勢,若長途搭車,要注意定時活動下肢,建議穿寬鬆衣褲、促進下肢血液流動,長時間站立工作者,每天下班後抬高雙腿高於心臟,促進靜脈血液回流,曾有深層靜脈血栓栓塞史者,定期到心臟科門診追蹤,若是手術後患者,若突然有胸悶、胸痛、喘等症狀,需儘速就醫。
(封面圖/翻攝自Pxhere)示意圖,非當事畫面