醫起看/走路不穩、胡言亂語竟非失智? 北市聯醫揭開「垃圾包」罕病真相

聽新聞
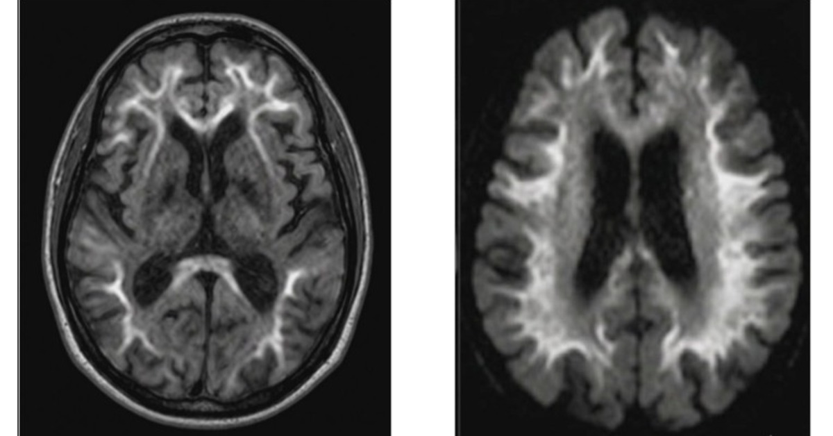
大腦皮髓質交界處對稱性高訊號曲線。(圖/陳珮昀醫師提供)
大腦皮髓質交界處對稱性高訊號曲線。(圖/陳珮昀醫師提供)

如果您身邊的長輩突然走路不穩、說話含糊,甚至是情緒劇變,千萬別只當作是老化的失智症!台北市一名75歲的阿嬤,近期因劇烈頭暈、嘔吐,短短幾天內從「健步如飛」惡化到「無法站立」,甚至出現自殺意念與譫妄。台北市立聯合醫院仁愛院區醫療團隊,透過核磁共振影像(MRI)在阿嬤腦部發現一條神祕的「高訊號曲線」,聯手台北榮總精準實驗室,最終確診為極其罕見的基因退化性疾病——神經元核內包涵體病NIID)。

● 類固醇療效失靈? 阿嬤病情「懸案」再起

這名75歲的女性病患,九年前曾因類似症狀被診斷為自體免疫相關腦病變,當時類固醇治療效果極佳。然而,今年一月中旬噩夢重演,原本只是輕微頭暈,卻在數日內迅速惡化為口齒不清、全身不自主搖晃。

北市聯醫仁愛院區神經內科主治醫師陳珮昀回憶,當時阿嬤在治療過程中一度出現嚴重的譫妄與情緒低落,情況一度危急。但團隊並未放棄,而是從腦部核磁共振影像中尋找「蛛絲馬跡」。

● 關鍵影像 腦部的「皮質髓質」神祕曲線

醫療團隊在核磁共振(MRI)的 DWI 序列下,觀察到阿嬤的腦部出現了極其特殊的特徵在「皮質髓質交界處」出現了對稱的高訊號曲線。陳珮昀醫師指出,這種影像特徵就像是「疾病的指紋」,高度指向近年醫界才逐漸重視的罕病NIID。

為了證實推論,北市聯醫與台北榮總神經基因實驗室合作,進行NOTCH2NLC基因檢測,最終證實阿嬤的基因中出現了「GGC重複序列擴張」,正式確診。

● 影印機故障 基因重複列印導致全身堆滿「垃圾包」

究竟什麼是NIID?陳珮昀醫師形容,這就像是身體裡的「影印機故障」:

致病原理:一個名為NOTCH2NLC的基因區塊不斷重複列印錯誤資訊,形成無法代謝的「核內包涵體」。

全身受災:這些包涵體就像「垃圾包」一樣,堆積在神經細胞、汗腺及血管細胞,導致身體功能逐漸失靈。

多變症狀:從失智、巴金森症候群、步態不穩,到長年的排尿障礙、視力減退,都是可能的警訊。

● 誤診率驚人 台研發現1/5腦白質病變恐是它

過去NIID常被誤認為中風或普通的退化性失智。根據北榮李宜中教授團隊研究,台灣原先病因不明的「非血管性腦白質病變」中,竟然有將近20%(約 1/5) 實際上就是 NIID;甚至連看似小血管疾病的患者中,也有 3% 是基因突變所致。

● 精準醫療救命 阿嬤10天後重拾步履

所幸在確診後,經過醫療團隊精準調整藥物與高劑量類固醇治療,阿嬤的意識恢復清明,肢體穩定度也大增。住院十天後順利出院,回診時已經可以自行走路,展現了結合醫學中心資源、精準診斷的威力。

【醫師提醒】
陳珮昀醫師呼籲,若長輩出現認知改變、步態不穩,或是長年有排尿問題、視力不明原因減退,除了考量中風與失智,一定要尋求神經專科醫師評估。透過精準的影像檢查與基因篩檢,才能在疾病初期找回一線生機!

醫起看 失智症 北市聯醫 神經元核內包涵體病 NIID
上一篇
沒失禁卻有尿騷味?醫:99%男生沒做這動作
下一篇
醫起看/計算「大小」公式曝光 一票男生搖頭:很不準
廣告 / 請繼續往下閱讀
東森新聞 51 頻道 24 小時線上直播|Taiwan EBC 24h live news