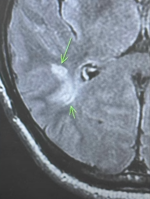
館長陳之漢近期身體狀況頻頻出狀況,今年5月才因為心臟不適,在直播中中途離席,他在12日晚間的直播中,跟粉絲證實「腦有問題」,有一部分看不見出現陰影,已經安排深入檢查,確認腦部是否出什麼狀況。
館長當天晚間的直播,有粉絲關心他是否有胃是不是有問題,所以經常打嗝。他則回答,他的胃沒有問題,現在是擔心自己的腦有問題,因為健檢有發現腦部的血管萎縮,一部分不見了。
館長表示,他之後還會去一趟上海跟蒙古,回來之後就會檢查,為什麼腦部的血管會不見,出現一個陰影,可是目前他都好好的,沒有什麼症狀或不適,「老天讓我活著是有意義的」。

館長說,醫生建議目前先吃阿斯匹靈防血栓,等他下一趟中國行回來之後,就會去照MRI進一步確認狀況,現在的狀況是一部分血管不見了,但是血流自己找到了出路,所以目前對身體狀況,沒有造成影響,如果血流沒自己找到出路,他現在已經癱瘓了。
館長秀出X光片指出,腦部有一塊是白的、不見了,所以醫生安排檢查就是要找原因,並且盡快移除掉,畢竟現在沒影響,不代表以後沒影響。