武漢肺炎(COVID-19)疫情肆虐全球,各國全都繃緊神經,截至今(3)日下午7時許,根據大陸國家及各省市地區衛健委統計,大陸累計8萬0303例確診、2948人死亡。浙江大學醫學院附屬第一醫院近日完成全球首例武漢冠肺患者移植手術,沒想到,打開患者的胸腔後,見到患者肺部的驚人變化,令操刀的肺部移植權威醫師也感到震驚不已。
據《澎湃新聞》3日報導,該名66歲的女性武漢肺炎確診患者1月31日因病情出現變化,從浙江某醫院輾轉來到浙江大學醫學院附屬第一醫院,2月3日插管,2月16日裝上葉克膜,之後病情好轉,核酸檢測後來轉為陰性,但肺部功能嚴重受損,情況危急,若未及時進行肺部移植,恐怕會危及生命,於3月1日下午1時許接受肺部移植手術。
▼女病患術前肺部嚴重受損,X光呈現一片白。(圖/翻攝自澎湃新聞)

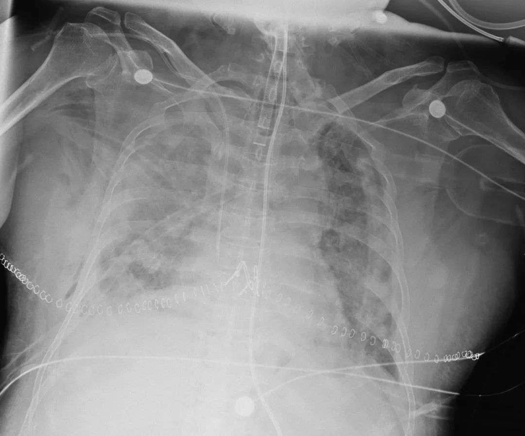
▼女病患術後X光呈現正常。(圖/翻攝自澎湃新聞)

負責操刀的著名肺移植專家、浙江大學醫學院附屬第一醫院肺移植科主任韓威力表示,當時打開患者胸腔後,看到肺部受損的狀況,當場大吃一驚,「病人整個肺是紫色的,還硬邦邦,萎縮得只有正常肺的一半大,還有大量黏液。」他指出,平時只要花半個小時就能切下一側的肺,這次足足花了一個半小時,「患者體型比較豐腴,胸腔空間變小,肺窩在裡面,又有下垂,同時,患者的心臟又有擴大,嚴重影響視野。」
▼醫師打開女患者胸腔後,驚呼「整個肺是紫色的且硬邦邦,萎縮得只有正常肺的一半大。」(圖/翻攝自澎湃新聞)

▼經過8小時手術後,女病患的狀況逐漸恢復穩定。(圖/翻攝自澎湃新聞)

韓威力的團隊最近3年來已成功為超過50名患者進行肺部移植手術,但他事後也坦言,這回的手術難度是最高的,甚至開刀過程中一度感到崩潰,「因為患者肺動脈壓力高,右心擴大,心臟扭曲旋轉,左心房被扭到了背後,帶來很大挑戰。」所幸手術進行8小時後,終於在晚間9時許順利完成,目前該名女病患的身體狀況也逐漸好轉中。
(封面圖/翻攝自澎湃新聞)