咖啡和炸雞是現代人不可或缺的飲食,不過國外一份研究卻顯示,每周食用炸雞將增加女性罹患心血管疾病的風險,而在中國大陸武漢則有一名上班族,疑似因為飲用咖啡過量造成骨質流失,只是小小的感冒咳嗽卻引發3根肋骨骨折。
▼一名上班族疑似因為飲用咖啡過量造成骨質流失(圖/東森新聞)

中國大陸咖啡廣告片段:「這一杯,誰不愛,誰不愛。」
請來大牌明星打廣告,中國大陸咖啡市場廣大,喜歡喝咖啡的人也不少,不過日前一名武漢上班族卻因為每天喝咖啡過量,一天最多可以喝上10杯,影響身體健康。
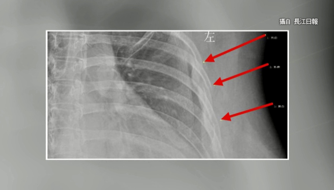
X光照片上標示出3根骨折的肋骨,根據醫師檢查後發現,這名30歲的上班族骨頭年齡竟然高達60歲,而這一切可能都是咖啡造成。
▼一名上班族一天最多可以喝10杯咖啡,小小的感冒咳嗽卻引發3根肋骨骨折(圖/翻攝自長江日報)

內湖國泰診所營養師張斯蘭:「如果你每天超過4杯(咖啡)以上,或咖啡因超過3百毫克以上,這個就會造成,比如說像咖啡因中毒啊,鈣質流失的問題就會產生。」
根據醫師表示,過量咖啡因容易造成骨質流失,尤其是女性停經以後,流失的速度會更嚴重,為了保持身體健康應該適量攝取,而除了咖啡之外,喜歡吃炸物的女性也可能要特別注意。
▼國外研究顯示,每個禮拜食用1次炸雞,罹患心血管疾病最後死亡的風險增加11倍(圖/東森新聞)

根據國外一份針對美國50歲以上女性的研究顯示,每個禮拜食用1次炸雞,將讓罹患心血管疾病最後死亡的風險增加11倍,至於炸魚或炸貝類風險更高,金黃色的雞排看起來美味酥脆,讓人食指大動,不過為了自己的健康,提醒各位民眾還是少吃為妙。
(封面圖/東森新聞)